पाएं अपने शहर की ताज़ा ख़बरें और फ्री ई-पेपर
डाउनलोड करें
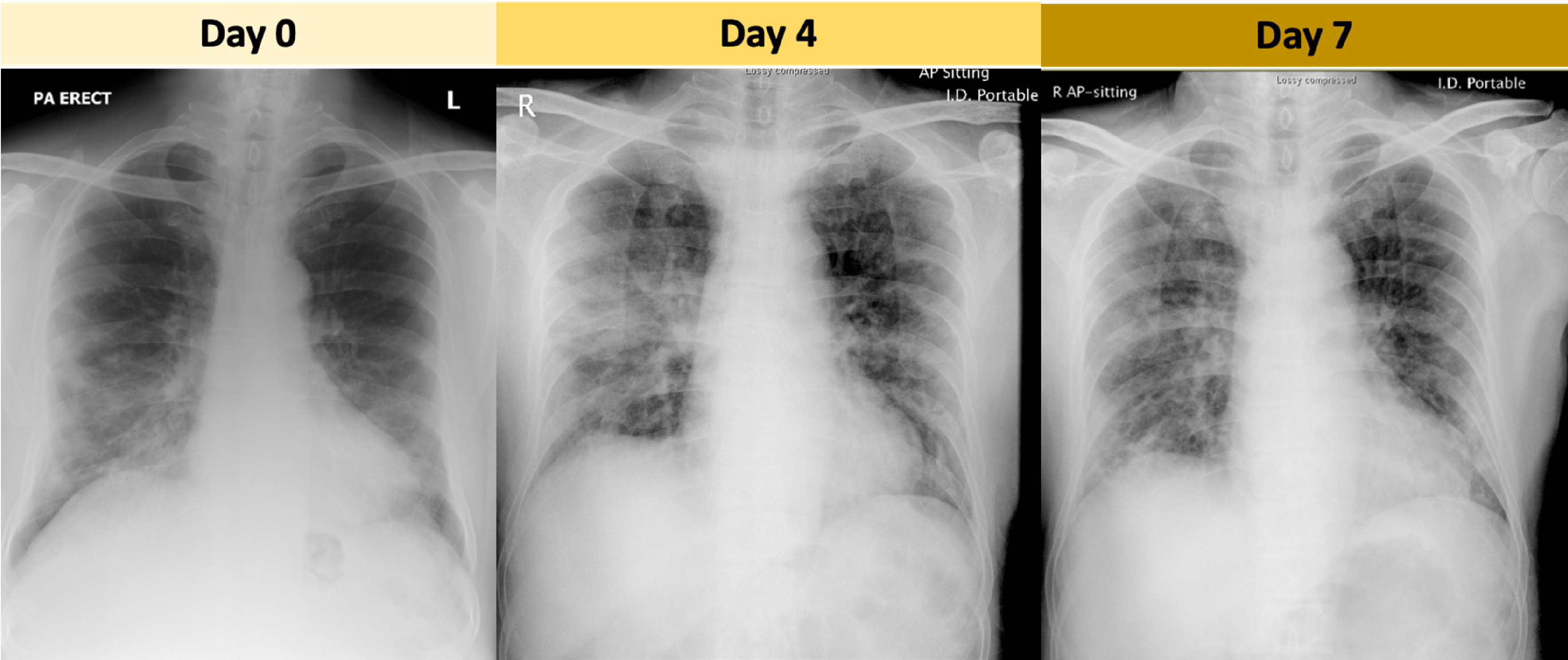
न्यू यॉर्क/ बीजिंग. दुनिया भर के मेडिकल प्रोफेशनल्स और वैज्ञानिक यह खोजने में लगे हैं कि कोरोनावायरस कैसे फैलता है और कैसे शरीर को प्रभावित करता है। इस दिशा में वैश्विक स्तर पर बड़ा काम संक्रमित मरीजों के फेफड़ों की की 3D इमेज बनाने और उससे अंदरुनी स्थिति को समझने का हुआ है। वैज्ञानिकों ने चीन में कोरोनावारयस COVID-19 संक्रमण से मारे गए 1000 से ज्यादा लोगों के पोस्टमॉर्टम से उनके फेफड़ों की स्थिति की 3D इमेज बनाई है।
पता चला कैसे दम घुटता है
ये तस्वीरें रेडियोलॉजिकल सोसाइटी ऑफ नॉर्थ अमेरिका (RSNA) ने जारी की है। फेफड़ों के एक्स-रे और सीटी स्कैन से सामने आया है कि पीड़ितों के फेफड़ें चिकने और गाढ़ी बलगम (म्यूकस) से भर जाता है। इसके कारण पीड़ित व्यक्ति की सांस घुटने लगती है क्योंकि उसके फेफड़ों में हवा जाने के लिए कोई जगह ही नहीं बचती।
सफेद धब्बों से मिला क्लू
COVID-19 रोगियों के सीटी स्कैन से उनके फेफड़ों में सफेद धब्बों का स्पष्ट रूप से पता चला है - जिसे रेडियोलॉजिस्टों ने अपनी भाषा में ग्राउंड-ग्लास ओपेसिटी कहा है - क्योंकि वे स्कैन पर खिड़कियों के शीशों पर लगे धब्बों जैसे दिखाई देते हैं। पीड़ितों के फेफड़ों के सीटी स्कैन से ऐसे पैचेज़ नजर आए जो निमोनिया के होते हैं। लेकिन, कोरोना के मामले में ये ज्यादा ही गाढ़े हैं और फेफड़ों में हवा के जगह कुछ और ही भरा हुआ नजर आया।

क्या फायदा होगा
इस 3D इमेज के बनने के बाद डॉक्टर एक्स-रे और सीटी स्कैन से ऐसे मरीजों की बहुत जल्दी पहचान कर पाएंगे जो गंभीर रूप से संक्रमित हैं और जिन्हें तुरंत सबसे आइसोलेट करने की जरूरत है। चीन के वुहान शहर से फैला कोरोनावायरस (कोविड-19) अब तक 111 से ज्यादा देशों में फैल चुका है। दुनियाभर में 4,640 लोग मारे गए हैं। एक लाख 26 हजार से ज्यादा लोग संक्रमित हैं।

सार्स के लक्षण भी ऐसे ही थे
2002 में दुनियाभर में फैले ऐसे ही संक्रामक रोग ‘सार्स’ में कोरोना की तरह एक्स-रे और सीटी स्कैन से ऐसे ही निष्कर्ष सामने आए थे। इस रोग में भी फेफड़ों में सफेद और गाढ़े धब्बे थे और जिस जगह पर हवा होनी थी वहां पर बलगम भरी थी।




Copyright © 2021-22 DB Corp ltd., All Rights Reserved
This website follows the DNPA Code of Ethics.